ジェノスタッフ / ジェノスタッフ ID: J01286

in situハイブリダイゼーション(ISH) ID: J01286

in situハイブリダイゼーション(ISH)に関わる一連の作業をお引き受けするサービスです。

サービスについて

概要

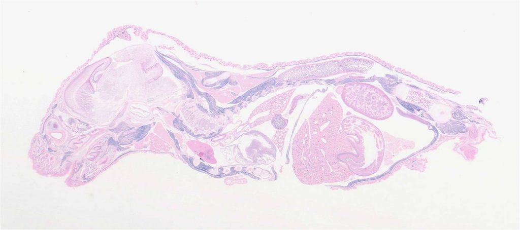
遺伝子の機能解析方法のひとつとして活用されているin situ ハイブリダイゼーション(ISH)に関する一連の作業をお引き受けするサービスです。 お客様からのご要望に応じて、動物の解剖から切片およびプローブの作製、ISH 染色の実施、報告書の作成まで一貫してお引き受けいたします。(fig.1
miRNAの ISH も承ります。
miRNAは遺伝子の発現制御や安定性に関与する低分子 RNA で、一般的に局在の解析が非常に難しいとされてきました。 ジェノスタッフ社では、独自のISHのノウハウに加え、最新の技術により miRNA の検出に成功しています。

サービス内容

  1. 組織の品質確認試験
    ・お客様からご提供いただきました対象サンプルにつきまして、ISH用としての品質を確認します。
    ・作製したパラフィン切片とジェノスタッフ社所有の β Actin プローブや対象組織に適したポジティブコントロールプローブを用いて ISH を実施します。
  2. プローブバリデーション試験
    ・作製した複数領域のプローブにつきまして、ISH用としての品質を確認します。
    ・作製したアンチセンスプローブならびにセンスプローブ、ジェノスタッフ社所有のネガティブコントロールプローブを用いてISHを実施し、その結果をもとに、ISH条件検討と本試験に用いる染色性(検出感度、特異性)の高いプローブを決定します。
  3. ISH条件検討
    ・ISH用として選択したプローブとご提供いただいた対象サンプル(*1)を用いて、 ISH 条件を検討します。
    *1 ポジティブコントロールサンプル(検体や培養細胞など)がある場合は、そちらを使用します。
    ・ハイブリダイゼーション条件ならびにハイブリ後の洗浄条件を変更のパラメーターとして ISH を実施し、その結果をもとに、至適な ISH 条件を決定します。
  4. ISH本試験
    ・至適な ISH 条件のもと、 ISH 用に選択したプローブと対象の被検サンプルを用いてISHを実施します。
  5. 結果報告書の作成
    ・一連の試験結果につきまして報告書を作成し、染色済みスライドならびに電子ファイル(CDなど)とともに納品させていただきます。
    ・ISH 染色スライドのバーチャルスライドファイルは必要な場合はお申し付けください。

ご依頼前に

ご依頼内容について以下の情報をお知らせ下さい。

【遺伝子について】
解析を希望する遺伝子について Gene AccessionNumber Gene Bank, EMBL )もしくはSequence Text Data をお知らせください。 プローブとして適切な領域を最大3領域まで作製します。

【サンプルについて】
  • サンプルの状態: すでに採取済み、出張解剖希望、固定済み組織、パラフィンブロック など
  • 動物種
  • 組織名
  • サンプル数
  • 断面 の指定 :注目部位や薄切方向(冠状断・矢状断)など、断面の指定がある場合はお知らせください 。
  • 発現情報:目的遺伝子のリアルタイムPCR、RT PCR、ノザン解析等の発現情報など があればお知らせください 。
* 正常マウスやラットにつきましては、ジェノスタッフ社でもご用意できますのでご希望の組織をお知らせ下さい。
* サンプルの処理方法については、お問い合わせ下さい。

ご注文に関して

お問い合わせフォーム よりお問い合わせください。

参考価格・納期

サービス項目 価格(税抜) 納期
in situハイブリダイゼーション(ISH) お問い合わせ お問い合わせ

関連サイト