バイオ病理研究所 / フナコシ ID: J00379

動物病理組織標本作製・免疫染色標本作製および病理組織学的検査受託サービス ID: J00379

サービスについて

概要

株式会社バイオ病理研究所では病理動物実験における病理組織標本の作製、組織学的検査(免疫染色 / 組織染色 / 凍結切片染色など)のご依頼を承ります。ご依頼いただいた業務は、GLP(*1)の試験施設にて実施します。切片の作製は1枚から承ります。

*1 GLP(Good Laboratory Practice):医薬品・化学物質・農薬の安全性試験実施基準

病理組織標本作製

  • ヘマトキシリン・エオジン染色(HE染色)標本作製
  • 特殊染色標本作製(Azan,PAM,PAS,TB,MT,脂肪染色(凍結切片)など)
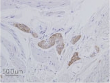
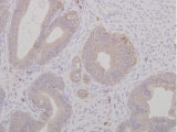
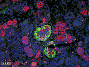
  • 酵素抗体法および蛍光抗体法標本作製(免疫組織化学染色)
  • 凍結切片標本作製(特殊染色および免疫組織化学染色用)
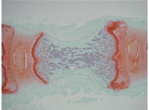
  • 非脱灰凍結切片標本作製(マウス大腿骨など)
* 非GLP対応試験を承ります。

染色標本作製受託サービスの種類

動物病理組織標本作製および病理組織学的検査受託サービス
HE染色標本作製受託サービス ヘマトキシリン・エオジン染色
特殊染色標本作製受託サービス PASおよびマッソントリクローム染色など
免疫組織化学染色(Immunohistochemistry)標本作製受託サービス 酵素抗体法と蛍光法による染色
凍結切片標本/非脱灰凍結切片標本作製受託サービス 脂質や酵素類の検出/骨組織などの染色
病理組織学的検査受託サービス 定性検査/定量検査

受注実績の例

  • 酸化ストレスマーカーの検出(8-OHdG, 4-HNE, HELなど)
  • アポトーシス検出(TUNEL染色,Cleaved Caspase-3など)
  • 細胞周期増殖マーカーの検出(Ki-67, PCNAなど)
  • CDマーカーの検出(CD3, CD4, CD8, CD19, CD25, CD34, CD45RA, CD90など)
  • 癌 / 癌抑制遺伝子の検出(BAX, Beclin, LC3, Bcl-xLなど)
  • 組織球・血管・筋肉系マーカーの検出(ED1, F4/80, アンチトロンビン,αSMA, VEGFなど)
  • ホルモンの検出(インスリン、グルカゴン、インスリン・グルカゴン重染色,Osteopontin, Osteocalcin)
  • 破骨細胞の検出(TRAP染色)
  • 神経・神経内分泌マーカーの検出(TH, Nestin, GFAP, Iba-1, MAP2, NeuN, DRD1, BDNF, GDNF, Frequenin)
  • 上皮・ケラチン・ムチンマーカーの検出
  • サイトカイン、GF(成長因子)、CSF(コロニー刺激因子)の検出
  • 蛍光多重染色(リン酸化CREB×GFAPなど多数)

組織学的検査

  • 定性および定量検査(カウント・面積測定)
  • 開発スクリーニングにおける病理組織学的検討
  • 作用メカニズム、作用部位等の基礎研究における組織学的検討
  • 病態動物における組織学的検討

ご注文に関して

以下のファイルをご利用の上、お問い合わせフォーム からご送付ください。

参考価格・納期

サービス項目 価格(税抜) 納期
動物病理組織標本作製・免疫染色標本作製および病理組織学的検査受託サービス お問い合わせ お問い合わせ

関連サイト