サービスについて

概要

組織染色は、組織学や病理学の分野において、組織や細胞の形態的な変化を簡便に調べるために用いられています。
未染色組織でも形態の違いから結合組織や、細胞核などを見分けることは可能ですが、あらかじめ組織染色を行うことによって、その観察が容易になります。 染色の方法には、組織中の特徴的な生体分子(タンパク質、核酸、脂質、炭化水素など)に対して、特定の色素が強く結合する性質を利用した方法や、 特定の酵素と反応して発色する基質を用いた方法があります。
in situ ハイブリダイゼーション法や免疫組織染色法での染色後に、組織染色(対比染色;カウンターステインとも呼ばれる)を行うことによって、 簡便に組織構造を染色することも可能です。
切片作製からの実施や画像データの取得の対応も可能です。

サービス内容

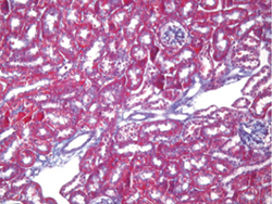
  • ヘマトキシリン・エオジン染色(HE染色)(fig.1

    最も一般的な染色法で、ヘマトキシリン液が核・リボソーム等を青藍色に、エオジン液が細胞質・繊維・赤血球を赤色に染色します。
    ヘマトキシリンは青紫色の色素であり、これに染まる組織は好塩基性と呼ばれ、細胞核、骨組織、軟骨組織の一部、漿液成分が染色されます。エオジンは赤色の色素であり、これに染まる組織は好酸性と呼ばれ、細胞質、軟部組織の結合組織、赤血球、線維組織、内分泌顆粒などが染色されます。
    • マッソントリクローム染色(fig.2

      膠原線維を染色する方法で、膠原線維と筋線維を染め分けるのが特徴です。
      核をヘマトキシリンで染め、細胞質を赤く、膠原線維を青く染めるので、3色染色(トリクローム)と呼ばれます。
      分子量の異なる色素を用いての染色で、ヘマトキシリンで核が青紫色に染まり、その後に拡散速度の大きい小色素分子(酸フクシン、ポンソーキシリジン)が細胞の細網孔へ浸透して赤色に染まり、次いで拡散速度の小さい大色素分子(アニリン青)が膠原線維の粗構造に入り込み、青色に染まります。
    • パス染色(PAS染色)(fig.3

      過ヨウ素酸シッフ反応とも呼ばれる染色法で、主に糖原を染める染色です。細胞質内糖原顆粒、アポクリン腺などからの分泌物などがPAS反応陽性とされます。また、膠原線維、血管内皮などはPAS反応弱陽性とされます。
      病理組織学的には細胞内異生物の検出、グリコーゲン変性の証明、血管内皮の検出などに用いられます。
    その他に、アルシアンブルー染色、エラスチカ・マッソン染色、アザン染色、クリューラーバレル染色、トルイジンブルー染色などの対応が可能です。

サンプル調製方法

  • 組織等の解析サンプルをご提供いただく場合
    切片作製費用が別途必要です。詳しくは、こちら(切片作製)をご参照ください。
    染色像は、組織染色に用いる組織の固定法や保存状況などに影響されますので、一度、ご相談ください(未固定凍結組織の場合もご相談ください)。
  • 標本スライド等の解析サンプルをご提供いただく場合
    標本スライド作製には、剥離防止コート処理(MAS等)されたスライドガラスを用いてください。
    染色像は、組織染色に用いる組織切片の固定法や保存状況、切片の厚さなどに影響されますので、一度ご相談ください。(未固定凍結組織の場合もご相談ください)。

ご注文に関して

お問い合わせフォーム よりお問い合わせください。

製品カタログ・リーフレット

参考価格・納期

サービス項目 価格(税抜) 納期
ヘマトキシリン・エオジン染色(HE染色) お問い合わせ お問い合わせ
マッソントリクローム染色 お問い合わせ お問い合わせ
パス染色(PAS染色) お問い合わせ お問い合わせ

*別途送料が発生致します。

*上記は染色のみの費用となっております。薄切からご依頼の場合は、切片作製の費用が別途必要となります。

関連サイト