受託オンライン
Commissioned Research Online
株式会社薬研社
株式会社薬研社
カテゴリー
カテゴリー 一覧
遺伝子工学
01
遺伝子発現解析
02
シーケンス(塩基配列)解析
03
タンパク質工学
04
細胞解析・作製・培養
05
抗体作製
06
動物実験
07
病理標本作製・検査
08
有機・無機合成
09
アッセイ系構築・試薬調整
10
質量分析・試料分析
11
創薬・薬物動態 ・バイオ医薬品
12
海外製品調達
13
クリーン環境・滅菌・設備レンタル・校正サービス・特注器具,ガラス加工
14
関連サイト
研究機器オンライン
ラボプランニング
実験フローガイド
ワケンG オンラインショップ
薬研社 ホームページ
お問い合わせ
詳細検索
詳細検索
を閉じる
メーカー/販売元
開催中のキャンペーンを絞り込み
セミナー情報ありで絞り込み
カテゴリー
遺伝子工学
遺伝子発現解析
シーケンス(塩基配列)解析
タンパク質工学
細胞解析・作製・培養
抗体作製
動物実験
病理標本作製・検査
有機・無機合成
アッセイ系構築・試薬調整・研究支援ツール
質量分析・試料分析
創薬・薬物動態 ・バイオ医薬品
海外製品調達
クリーン環境・滅菌・設備レンタル・校正サービス・特注器具,ガラス加工
検索
条件クリア
ジェノスタッフ
/
ジェノスタッフ
ID: J01288
ヘマトキシリン&エオジン染色(HE染色)
ID: J01288
印刷
組織構造を観察するのにご利用ください。
お問い合わせ
カテゴリ
病理標本作製・検査
免疫組織化学・組織標本・電顕
組織染色・標本染色
サービスについて
必要な情報
ご注文に関して
参考価格表・納期
関連サイト
サービスについて
概要
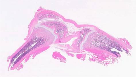
組織構造の観察にご利用ください。(
fig.1
)
ヘマトキシリン&エオジン染色(HE 染色)のみでのご依頼や、 IHC や ISH などと組み合わせてのご依頼が可能です。
* 組み合わせてのご依頼が可能なサービス
免疫組織化学染色(IHC)受託サービス
in situ ハイブリダイゼーション(ISH)受託サービス
fig.1 ヘマトキシリン&エオジン染色(HE染色)
サービス内容
動物解剖・組織の準備
・ご要望に応じて動物を解剖し、組織を固定いたします。
・固定液に浸漬中のサンプルはジェノスタッフへ送付下さい。
・正常マウス・ラットの各組織については、ジェノスタッフでもご用意しておりますのでお問合せ下さい。
* 送付方法については、ご相談ください。
組織ブロックの作製
・薄切方向に合わせて、組織を包埋いたします。
切片の作製(薄切)
・作製いたしましたパラフィン包埋ブロックより、ご依頼の断面・枚数の切片を作製いたします。
・パラフィン組織包埋ブロックを送付いただければ、薄切からも承ります。
* 切片は、 1切片/スライドで作製いたします。
染色
・ご希望の枚数などをお申し付けください。
画像撮影
画像が必要な場合はご依頼時にお申し付けください。
* バーチャルスライドファイルの作製についても承ります。
バーチャルスライドファイル作成につきましては
こちら
染色例
マウス各種組織のHE 染色画像
マウス胎仔ならびに新生仔の HE 染色画像
マウス頭部のHE 染色画像
必要な情報
試料の状態: 例)パラフィン包埋ブロック、固定液に浸漬中、これから解剖 など
動物種
臓器名
検体数
枚数
断面のご指定の有無
ご注文に関して
お問い合わせフォーム
よりお問い合わせください。
製品カタログ・リーフレット
HE染色のご依頼について
この製品に関するお問い合わせ
参考価格・納期
サービス項目
価格(税抜)
納期
ヘマトキシリン&エオジン染色(HE染色)
お問い合わせ
お問い合わせ
関連サイト
メーカーサイト
HOME
お問い合わせ
お知らせ
キャンペーン情報一覧
製品カテゴリー一覧
メーカー別索引
販売元別索引
ご利用ガイド
研究機器オンライン
ラボプランニング
実験フローガイド
ワケンG オンラインショップ
薬研社 ホームページ
/
お問い合わせリストへ
※お問い合わせは完了しておりません。